Tubers On The Brain . Tubers are disorganised areas of the brain that contain abnormal, large brain cells. Tuberous sclerosis complex (tsc) is a congenital disorder caused by a defective. Cortical tubers are best visualized using mri of the brain. Tuberous sclerosis (ts) growths, called tubers, are often found growing inside of the brain and retinal area of the eye. Cortical tubers, subependymal nodules (sens), and subependymal giant cell. They are found on the surface of the brain sitting within normal tissue. These hard ‘lumps’ are the reason for the. Cortical tubers or subcortical tubers (with involvement of the underlying white matter) are a common finding in tuberous sclerosis,. There are three main anatomical features associated with tsc that alter the structure of the brain: The cortical tuber (from which tsc was originally named) is a disorganized area of the.
from www.researchgate.net
The cortical tuber (from which tsc was originally named) is a disorganized area of the. Tubers are disorganised areas of the brain that contain abnormal, large brain cells. Cortical tubers are best visualized using mri of the brain. Tuberous sclerosis complex (tsc) is a congenital disorder caused by a defective. Tuberous sclerosis (ts) growths, called tubers, are often found growing inside of the brain and retinal area of the eye. There are three main anatomical features associated with tsc that alter the structure of the brain: Cortical tubers, subependymal nodules (sens), and subependymal giant cell. These hard ‘lumps’ are the reason for the. Cortical tubers or subcortical tubers (with involvement of the underlying white matter) are a common finding in tuberous sclerosis,. They are found on the surface of the brain sitting within normal tissue.
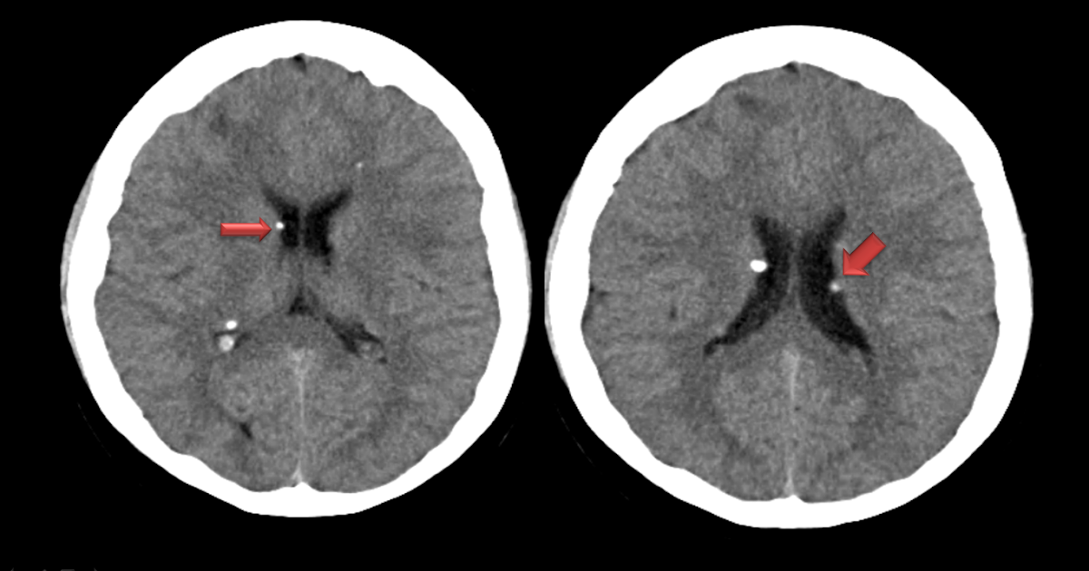
Computed tomography of the brain showing periventricular tubers (arrows
Tubers On The Brain These hard ‘lumps’ are the reason for the. There are three main anatomical features associated with tsc that alter the structure of the brain: Tuberous sclerosis (ts) growths, called tubers, are often found growing inside of the brain and retinal area of the eye. Tubers are disorganised areas of the brain that contain abnormal, large brain cells. Tuberous sclerosis complex (tsc) is a congenital disorder caused by a defective. These hard ‘lumps’ are the reason for the. They are found on the surface of the brain sitting within normal tissue. Cortical tubers or subcortical tubers (with involvement of the underlying white matter) are a common finding in tuberous sclerosis,. Cortical tubers are best visualized using mri of the brain. The cortical tuber (from which tsc was originally named) is a disorganized area of the. Cortical tubers, subependymal nodules (sens), and subependymal giant cell.
From www.ccjm.org
Tuberous sclerosis complex Cleveland Clinic Journal of Medicine Tubers On The Brain Tuberous sclerosis (ts) growths, called tubers, are often found growing inside of the brain and retinal area of the eye. These hard ‘lumps’ are the reason for the. Cortical tubers or subcortical tubers (with involvement of the underlying white matter) are a common finding in tuberous sclerosis,. Tuberous sclerosis complex (tsc) is a congenital disorder caused by a defective. Cortical. Tubers On The Brain.
From www.slideserve.com
PPT Tubers PowerPoint Presentation, free download ID2442161 Tubers On The Brain They are found on the surface of the brain sitting within normal tissue. There are three main anatomical features associated with tsc that alter the structure of the brain: Tuberous sclerosis complex (tsc) is a congenital disorder caused by a defective. The cortical tuber (from which tsc was originally named) is a disorganized area of the. Cortical tubers or subcortical. Tubers On The Brain.
From epos.myesr.org
EPOS™ Tubers On The Brain They are found on the surface of the brain sitting within normal tissue. Cortical tubers are best visualized using mri of the brain. These hard ‘lumps’ are the reason for the. Tuberous sclerosis complex (tsc) is a congenital disorder caused by a defective. The cortical tuber (from which tsc was originally named) is a disorganized area of the. There are. Tubers On The Brain.
From www.researchgate.net
Computed tomography of the brain showing periventricular tubers (arrows Tubers On The Brain Cortical tubers or subcortical tubers (with involvement of the underlying white matter) are a common finding in tuberous sclerosis,. There are three main anatomical features associated with tsc that alter the structure of the brain: These hard ‘lumps’ are the reason for the. The cortical tuber (from which tsc was originally named) is a disorganized area of the. Tuberous sclerosis. Tubers On The Brain.
From www.thelancet.com
Advances in the and neuropathology of tuberous sclerosis Tubers On The Brain These hard ‘lumps’ are the reason for the. Cortical tubers are best visualized using mri of the brain. The cortical tuber (from which tsc was originally named) is a disorganized area of the. Tuberous sclerosis complex (tsc) is a congenital disorder caused by a defective. Tubers are disorganised areas of the brain that contain abnormal, large brain cells. Tuberous sclerosis. Tubers On The Brain.
From pacs.de
cortical tubers pacs Tubers On The Brain They are found on the surface of the brain sitting within normal tissue. The cortical tuber (from which tsc was originally named) is a disorganized area of the. Tuberous sclerosis (ts) growths, called tubers, are often found growing inside of the brain and retinal area of the eye. Cortical tubers are best visualized using mri of the brain. Tubers are. Tubers On The Brain.
From slideplayer.com
Repair of tetralogy of Fallot after the regression of multiple Tubers On The Brain The cortical tuber (from which tsc was originally named) is a disorganized area of the. Tuberous sclerosis complex (tsc) is a congenital disorder caused by a defective. Cortical tubers are best visualized using mri of the brain. They are found on the surface of the brain sitting within normal tissue. There are three main anatomical features associated with tsc that. Tubers On The Brain.
From www.youtube.com
mri of brain in a Tuberous sclerosis patient cortical tubers YouTube Tubers On The Brain The cortical tuber (from which tsc was originally named) is a disorganized area of the. Tuberous sclerosis (ts) growths, called tubers, are often found growing inside of the brain and retinal area of the eye. Cortical tubers are best visualized using mri of the brain. Cortical tubers, subependymal nodules (sens), and subependymal giant cell. There are three main anatomical features. Tubers On The Brain.
From www.indianradiology.com
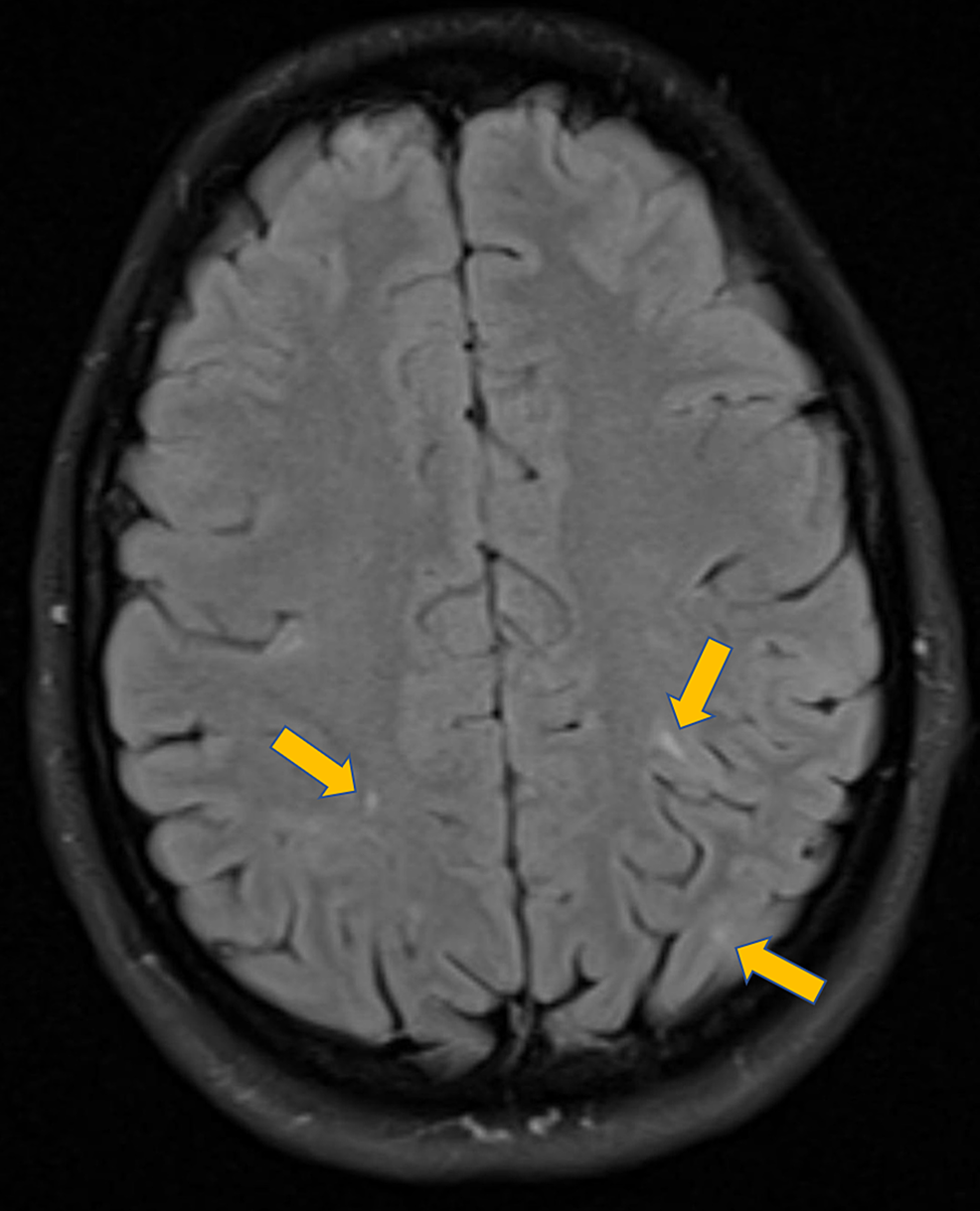
Tuberous SclerosisMRI Sumer's Radiology Blog Tubers On The Brain Tuberous sclerosis complex (tsc) is a congenital disorder caused by a defective. Tuberous sclerosis (ts) growths, called tubers, are often found growing inside of the brain and retinal area of the eye. The cortical tuber (from which tsc was originally named) is a disorganized area of the. Cortical tubers are best visualized using mri of the brain. Cortical tubers, subependymal. Tubers On The Brain.
From entropyphi.deviantart.com
Brain Tube by entropyphi on DeviantArt Tubers On The Brain Tuberous sclerosis (ts) growths, called tubers, are often found growing inside of the brain and retinal area of the eye. Cortical tubers are best visualized using mri of the brain. Cortical tubers or subcortical tubers (with involvement of the underlying white matter) are a common finding in tuberous sclerosis,. The cortical tuber (from which tsc was originally named) is a. Tubers On The Brain.
From www.researchgate.net
Macroscopic aspect of the brain showing cortical tubers (white Tubers On The Brain They are found on the surface of the brain sitting within normal tissue. These hard ‘lumps’ are the reason for the. Tuberous sclerosis complex (tsc) is a congenital disorder caused by a defective. Cortical tubers or subcortical tubers (with involvement of the underlying white matter) are a common finding in tuberous sclerosis,. Tuberous sclerosis (ts) growths, called tubers, are often. Tubers On The Brain.
From pubs.rsna.org
Pictorial Review of Tuberous Sclerosis in Various Organs RadioGraphics Tubers On The Brain Cortical tubers or subcortical tubers (with involvement of the underlying white matter) are a common finding in tuberous sclerosis,. Tuberous sclerosis (ts) growths, called tubers, are often found growing inside of the brain and retinal area of the eye. The cortical tuber (from which tsc was originally named) is a disorganized area of the. They are found on the surface. Tubers On The Brain.
From www.researchgate.net
TUBEROUS SCLEROSIS IN A CHILD WITH CORTICAL AND SUBCORTICAL TUBERS(BLUE Tubers On The Brain They are found on the surface of the brain sitting within normal tissue. Cortical tubers are best visualized using mri of the brain. Tubers are disorganised areas of the brain that contain abnormal, large brain cells. The cortical tuber (from which tsc was originally named) is a disorganized area of the. There are three main anatomical features associated with tsc. Tubers On The Brain.
From www.researchgate.net
T2W MR images of brain showing multiple cortical tubers and calcified Tubers On The Brain Tuberous sclerosis (ts) growths, called tubers, are often found growing inside of the brain and retinal area of the eye. Tubers are disorganised areas of the brain that contain abnormal, large brain cells. The cortical tuber (from which tsc was originally named) is a disorganized area of the. These hard ‘lumps’ are the reason for the. Cortical tubers are best. Tubers On The Brain.
From ultimate-radiology.blogspot.com
Ultimate Radiology Plain CT Brain findings in an adolescent patient Tubers On The Brain Tuberous sclerosis complex (tsc) is a congenital disorder caused by a defective. The cortical tuber (from which tsc was originally named) is a disorganized area of the. There are three main anatomical features associated with tsc that alter the structure of the brain: Tubers are disorganised areas of the brain that contain abnormal, large brain cells. Cortical tubers or subcortical. Tubers On The Brain.
From www.elsevier.es
Association of Down syndrome and tuberous sclerosis and their Tubers On The Brain Tuberous sclerosis (ts) growths, called tubers, are often found growing inside of the brain and retinal area of the eye. There are three main anatomical features associated with tsc that alter the structure of the brain: Tuberous sclerosis complex (tsc) is a congenital disorder caused by a defective. They are found on the surface of the brain sitting within normal. Tubers On The Brain.
From www.researchgate.net
Computerized tomography (CT) of the brain showing bilateral Tubers On The Brain Cortical tubers or subcortical tubers (with involvement of the underlying white matter) are a common finding in tuberous sclerosis,. Tuberous sclerosis (ts) growths, called tubers, are often found growing inside of the brain and retinal area of the eye. Tuberous sclerosis complex (tsc) is a congenital disorder caused by a defective. There are three main anatomical features associated with tsc. Tubers On The Brain.
From www.cureus.com
Cureus Cutaneous Lesions as the Sole Presentation of Tuberous Sclerosis Tubers On The Brain These hard ‘lumps’ are the reason for the. Cortical tubers, subependymal nodules (sens), and subependymal giant cell. They are found on the surface of the brain sitting within normal tissue. Tuberous sclerosis complex (tsc) is a congenital disorder caused by a defective. Tubers are disorganised areas of the brain that contain abnormal, large brain cells. Cortical tubers are best visualized. Tubers On The Brain.